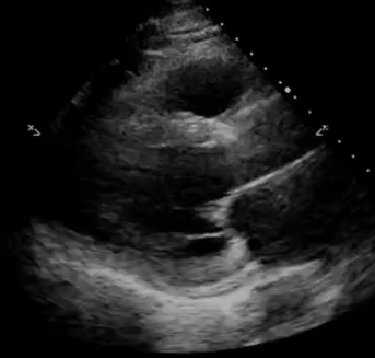
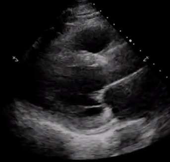
PLAX severe Leave a ReplyCancel reply Search for... Search NephroPOCUS video curriculumPOCUN pearls = short videosMy POCUS posts on the Renal Fellow Network https://www.renalfellow.org/tag/abhilash-koratala/ Sign up for NephroPOCUS updates Enter your email address to receive notifications of new posts. Email Address Subscribe Follow me on twitterMy TweetsPOCUS video curriculum for Nephrology traineesFollow Me X My POCUS posts on the Renal Fellow Network POCUS gallery on the Renal Fellow Network Renal ultrasound review article ASN Kidey News article about POCUS Short videos – ‘POCUN pearls’ Tweets by NephroP